Терапевтическая стоматология

    Отзывы18

    Куралай
    Отзыв подтвержден
    30 ноября ночью были на Калдаякова 59, Айдын Хабибулаевич нам 2 зуба пролечил. но как оказалось кариес полностью не про...
    Полина Никулина
    Отзыв подтвержден
    Хочу от всей души поблагодарить персонал медцентра Талант-К за высокий профессионализм, чуткое и внимательное отношение ...
    Гульжан Сапарова
    Отзыв подтвержден
    Напишу очень краткий отзыв , мне все понравилось, была пару раз, и впечатления остались положительные, хороший персонал ...
    Поделитесь мнением
    ОтличноОчень хорошоНеплохоПлохоУжасно
    Терапевтическая стоматология
    Кто вас обслуживал?
    Добавить фото
    Нажимая кнопку «Написать отзыв», вы принимаете условия Пользовательского соглашения

    Цены

    Терапевтическая стоматология
    1 фото
    Консультация стоматолога 
    Основные методы обследования стоматологического больного относят: - опрос пациента; - осмотр пациента; - прощупывание (пальпация) мягких тканей лица и полости рта; - зондирование; - перкуссия.
    Бесплатно
    1 фото
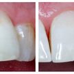
    Пломбирование поверхностное среднего кариеса (хим) 
    Обезболивание ,препарирование зуба ,Обработка кариозной полости. Стоматолог убирает все пораженные, разрушенные, размягченные, темные ткани; Антисептическая обработка зуба; Нанесение адгезива. Адгезив исполняет роль скрепляющего материала между пломбой и собственными тканями зуба; Внесение пломбировочного материала. В нашей клинике используются химический пломба материалы нового поколения. Они позволяют добиться имитирования здоровых тканей зуба; Художественное моделирование реставрации. Стоматолог формирует с помощью композитных материалов анатомические структуры зуба, добиваясь естественности; Шлифование и полирование пломбы. Завершающим этапом лечения является коррекция пломбы по прикусу, придание ей гладкости и блеска;
    от 5 000 тенге

    Наши специалисты

      Бауыржан

      Карлыга Бауыржанкызы

      Стаж 4 года

      Стоматолог-терапевт • Стоматолог-хирург

      Жолдас

      Бейсенбай Шамшидинович

      Стаж 7 лет

      Стоматолог-терапевт • Стоматолог-хирург

    Wi-Fi
    Есть
    Район
    Алатауский
    Оплата пластиковой картой
    Есть
    Вы владелец?
    Подключить онлайн-консультации
    Начните оказывать услуги онлайн-консультаций вашим пациентам
    Привлечь клиентов
    Нашли ошибку?
    Предложить исправление
    ТОО «Медицинский центр «Талант-К»
    Юридический адрес: г. Алматы, мкр. Шанырак-1, ул. Алпамыса 28
    УНП: БИН: 000540006711 Лицензия от 21.05.2010 №0105780 Выдана Коммунальным государственным учреждением «Управление предпринимательства и инвестиций г. Алматы». Акимат г. Алматы. Договор №897 на оказание платных медицинских услуг с ТОО «ИНВИТРО-Казахстан»
    Свидетельство о регистрации от 20.05.2010
    На правах рекламы
    Этот сайт использует cookies
    Понятно