Терапевтическая стоматология

    Консультация стоматолога
    Основные методы обследования стоматологического больного относят: - опрос пациента; - осмотр пациента; - прощупывание (пальпация) мягких тканей лица и полости рта; - зондирование; - перкуссия.
    Пломбирование поверхностное среднего кариеса (хим)
    Обезболивание ,препарирование зуба ,Обработка кариозной полости. Стоматолог убирает все пораженные, разрушенные, размягченные, темные ткани; Антисептическая обработка зуба; Нанесение адгезива. Адгезив исполняет роль скрепляющего материала между пломбой и собственными тканями зуба; Внесение пломбировочного материала. В нашей клинике используются химический пломба материалы нового поколения. Они позволяют добиться имитирования здоровых тканей зуба; Художественное моделирование реставрации. Стоматолог формирует с помощью композитных материалов анатомические структуры зуба, добиваясь естественности; Шлифование и полирование пломбы. Завершающим этапом лечения является коррекция пломбы по прикусу, придание ей гладкости и блеска;
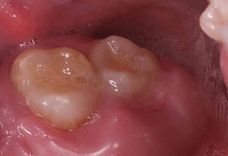
    Пломбирование поверхностное среднего кариеса 3М ESPE Filtek Ultimate
    Обезболивание ,препарирование зуба ,Обработка кариозной полости. Стоматолог убирает все пораженные, разрушенные, размягченные, темные ткани; Антисептическая обработка зуба; Нанесение адгезива. Адгезив исполняет роль скрепляющего материала между пломбой и собственными тканями зуба; Внесение пломбировочного материала. В нашей клинике используются композитные светоотверждаемые материалы нового поколения. Они позволяют добиться имитирования здоровых тканей зуба; Художественное моделирование реставрации. Стоматолог формирует с помощью композитных материалов анатомические структуры зуба, добиваясь естественности; Шлифование и полирование пломбы. Завершающим этапом лечения является коррекция пломбы по прикусу, придание ей гладкости и блеска;
    Пломбирование зуба под коронку (хим)
    Обезболивание ,препарирование зуба ,Обработка кариозной полости. Стоматолог убирает все пораженные, разрушенные, размягченные, темные ткани; Антисептическая обработка зуба; Нанесение адгезива. Адгезив исполняет роль скрепляющего материала между пломбой и собственными тканями зуба; Внесение пломбировочного материала. В нашей клинике используются композитные светоотверждаемые материалы нового поколения. Они позволяют добиться имитирования здоровых тканей зуба; Художественное моделирование реставрации. Стоматолог формирует с помощью композитных материалов анатомические структуры зуба, добиваясь естественности; Шлифование и полирование пломбы. Завершающим этапом лечения является коррекция пломбы по прикусу, придание ей гладкости и блеска;
    Пломбирование зуба под коронку (3М ESPE Filtek Ultimate)
    оставить коронку на зуб можно и для эстетической реставрации: например, если зуб сколот или его эмаль изменила цвет, став серой или желтой и этот дефект не устраняется классическим отбеливанием. ... Коронка - так называется в стоматологии протез, который ставится на зуб, на вживленный имплант или входит в конструкцию зубного моста. С помощью зубных коронок можно восстановить сильно разрушенные или потерянные зубы, реставрацией которых нужно обязательно заниматься в срочном порядке и обращаться для этого к врачу-стоматологу.
    Лечение пульпита/фронтального зуба (3М ESPE Filtek Ultimate)
    Лечение пульпита консервативным методом проводят в два посещения. лллл I) посещение: обезболивание, препарирование кариозной полости, вскрытие и раскрытие полости зуба, ампутация, медикаментозная обработка, расширение устьев корневых каналов, экстирпация корневой пульпы и определение рабочей длины, инструментальная, химическая и медикаментозная обработка корневых каналов, пломбирование каналов, рентгенконтроль, временная пломба. II) посещение: удаление временной пломбы, изолирующая прокладка и постоянная пломба*. Отделка пломбы.
    Лечение пульпита/двух корневых зубов (хим)
    Поэтапный план лечения пульпита включает в себя: Анестезию; Препарирование кариозной полости; Частичное или полное удаление пульпы; Антисептическую обработку и введение лекарственных средств; Пломбирование корневых каналов; Пломбирование коронкой части зуба
    Лечение пульпита/двух корневых зубов (3М ESPE Filtek Ultimate)
    Поэтапный план лечения пульпита включает в себя: Анестезию; Препарирование кариозной полости; Частичное или полное удаление пульпы; Антисептическую обработку и введение лекарственных средств; Пломбирование корневых каналов; Пломбирование коронкой части зуба
    Лечение пульпита/много корневых зубов (хим)
    Поэтапный план лечения пульпита включает в себя: Анестезию; Препарирование кариозной полости; Частичное или полное удаление пульпы; Антисептическую обработку и введение лекарственных средств; Пломбирование корневых каналов; Пломбирование коронкой части зуба
    Лечение пульпита/много корневых зубов (1ед) (3М ESPE Filtek Ultimate) 14К
    Поэтапный план лечения пульпита включает в себя: Анестезию; Препарирование кариозной полости; Частичное или полное удаление пульпы; Антисептическую обработку и введение лекарственных средств; Пломбирование корневых каналов; Пломбирование коронкой части ) (3М ESPE Filtek Ultimate) 14К
    Лечение периодонтита фронтальных зубов/много корневые (хим)
    Этапы лечения периодонтита Обязательно делается рентгеновский снимок. Обезболивание Высверливание доступа к корневым каналам за счет очищения пораженных кариесом эмали и дентина Удаление зараженной пульпы (если периодонтит развился на фоне пульпита) или распломбировка зуба Расширение корневых каналов и их медикаментозная обработка Введение в корневой канал антисептического средства Установка временной пломбы До следующего посещения врача пациент обязательно должен принимать лекарства (антибиотики, антигистаминные препараты, противовоспалительные средства). Удаление временной пломбы и проведение промывки каналов Временное пломбирование каналов лечебной пломбой на 2-3 месяца В последнее посещение снова делается рентгеновский снимок для определения динамики выздоровления, при наличии таковой проводится постоянное пломбирование корневых каналов (3М ESPE Filtek Ultimate) Пломбирование коронкой части зуба
    Лечение периодонтита фронтальных зубов/много корневые (3М ESPE Filtek Ultimate)
    Этапы лечения периодонтита Обязательно делается рентгеновский снимок. Обезболивание Высверливание доступа к корневым каналам за счет очищения пораженных кариесом эмали и дентина Удаление зараженной пульпы (если периодонтит развился на фоне пульпита) или распломбировка зуба Расширение корневых каналов и их медикаментозная обработка Введение в корневой канал антисептического средства Установка временной пломбы До следующего посещения врача пациент обязательно должен принимать лекарства (антибиотики, антигистаминные препараты, противовоспалительные средства). Удаление временной пломбы и проведение промывки каналов Временное пломбирование каналов лечебной пломбой на 2-3 месяца В последнее посещение снова делается рентгеновский снимок для определения динамики выздоровления, при наличии таковой проводится постоянное пломбирование корневых каналов

    Хирургическая стоматология

    Удаление зуба простое
    Обезболивание,удаление удаляются одно корневые или пораженные пародонтитом зубы. Патологическая подвижность зубов. II и III степени
    Удаление зуба средней степени сложности
    Обезболивание, удаляются 2 корневые зубы.
    Удаление зуба сложной степени сложности
    Обезболивание, удаляются 2 корневые зубы.
    Удаление 8-го зуба (зуб мудрости)
    Обезболивание, удаление зуба - 8го зуба (зуб мудрости) (1ед)
    Вскрытие абсцессов в стоматологии
    Абсцесс зуба — это локальное скопление гноя в области корня зуба, обычно имеет чётко обозначенные границы. Данное заболевание представляет собой хронический процесс. Операция — основной метод лечения абсцесса зуба. Она направлена на устранение причины болезни (некротической пульпы зуба) и дренирование гноя, скопившегося в области абсцесса. Возможны два варианты операции: простое лечение — доступ к каналу корня осуществляется через коронку зуба и удаление некротизированной пульпы; сложное — выполняется разрез и дренирование мягких тканей, вовлечённых в инфекционный процесс.
    Наложение ПХО шов на рану в стоматологии
    Оперативное вмешательство проводится в случае проведения: цистэктомии - удаления кисты средних и больших размеров, распространяющейся на несколько зубных единиц. Происходит резекция верхушки корней, предварительно запломбированных; цистомии - частичного удаления кисты с целью уменьшения давления внутри образования и ее постепенного уплощения; устранения некоторых воспалительных процессов - вскрытия абсцессов, лечения остеомиелита, периодонтита; гингивэктомии - иссечение разросшейся ткани десны; гингивопластики - пересадки ткани для улучшения эстетики десен; удаления зубных единиц - резекция зуба мудрости особенно часто сопровождается наложением швов; подготовки к протезированию - альвеолопластика, синус-лифтинг, пересадка костного блока. Глубокий разрез мягких тканей ротовой полости всегда требует наложения швов.
    Вскрытие гнойных процессов в стоматологии
    Заключается в обеспечении оттока гнойной субстанции, ликвидации источника инфекции.
    Резекция верхушки корня
    Подготовка зуба – заключается в пломбировании корневого канала на 2/3 его длины, проводится за 1-2 дня до хирургического вмешательства; местная анестезия; десну разрезают для создания доступа к верхушке корня; с помощью специального распора вскрывают и отслаивают лоскут слизистой; цилиндрической насадкой бормашины выпиливается участок кости; через образованное отверстие врач отсекает верхушку корня до уровня заполнения пломбировочным материалом; пустое пространство на месте кости заполняют остеопластическим материалом (синтетической костной тканью); в конце процедуры рану зашивают и накладывают лечебную повязку. Процедура длится 40-60 минут, все зависит от локализации больного зуба. Как правило, на резцах и клыках она проходит значительно легче.

    Пародонтология

    Лечение пародонтоза
    Этап 1: удаляется налет Это важная процедура, необходимая для скорейшего выздоровления, поскольку скопившийся зубной камень является главной опасностью. В клинике для этого применяются разные устройства. Для освобождения труднодоступных зон может потребовать кюретаж десен и проведение операции. Этап 2: выполнение шинирования Эта манипуляция необходима, чтобы вернуть зубам первоначальную прочность. Для этой цели прописывается шинирующая нить либо бюгельные протезы, если зубы частично выпали. Этап 3: терапия с использованием специальной аппаратуры Такое лечение активирует ток крови, улучшает питание тканей, приводит слизистую в естественное состояние. Для этого применяется Дарсонваль, который оказывает воздействие слабыми высокочастотными импульсами. Часто назначается массаж десен. 7-10 дней
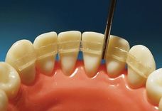
    Шинирование зубов
    Данный метод рекомендуется при наличии: нестандартного расположения зубов; сильного смещения челюстного ряда; поражения мягких тканей челюстей, зачастую сопровождаемого кровоточивостью десен; зубных отложений, скапливающихся около корней; десневых карманов и обнаженных корней. Виды шинирования Сегодня для выполнения шинирования используется стекловолокно, арамидную нить, коронки и протезы. Выделяют три вида шин: временная. Подобная технология шинирования зубов позволяет обеспечить нетравматичность зубных тканей. Конструкция не препятствует проведению хирургических, терапевтических и гигиенических манипуляций и дает возможность выполнять быструю модификацию при изменении процесса лечения; долговременная. Такая технология шинирования сочетает в себе преимущества временного и постоянного методов. Ее используют, если существуют сомнения в успешности лечения, но при этом прямые показания к удалению зубов отсутствуют;

    Детская стоматология

    Удаление молочных зубов
    Особенности удаления молочных зубов Техника удаления молочных зубов у детей несколько отличается от техники удаления зубов у взрослых, но 2 главных параметра при удалении зубов, на которые обращается основное внимание, остаются все теми же - это обезболивание и анатомические особенности. Анестезия при удалении молочных зубов у детей требуется не во всех случаях и очень часто можно спокойно удалить молочный зуб и без применения какого-либо препарата. Но возможно и удаление молочных зубов у детей под наркозом: выбор средства всегда происходит исходя из состояния и самочувствия маленького пациента. Как правило наркоз применяют для детей до полутора лет или детей, обладающих сильным страхом перед стоматологами. Показания к удалению молочных зубов Обычно показания к удалению молочных зубов включают в себя: Шатающийся зуб, который провоцирует воспалительный процесс в тканях десны Шатающийся зуб, который не выпадает и доставляет дискомфорт Кариес, который разрушает зуб.

    Эстетическая стоматология

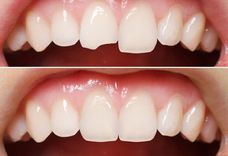
    Реставрация фронтальных зубов
    3М ESPE Filtek Ultimate Обезболивание ,препарирование зуба ,Обработка кариозной полости. Стоматолог убирает все пораженные, разрушенные, размягченные, темные ткани; Частичное или полное удаление пульпы; если нуждается удаление пульпы по диагнозу Антисептическая обработка зуба; Нанесение адгезива. Адгезив исполняет роль скрепляющего материала между пломбой и собственными тканями зуба; Внесение пломбировочного материала. В нашей клинике используются композитные светоотверждаемые материалы нового поколения. Они позволяют добиться имитирования здоровых тканей зуба; Художественное моделирование реставрации. Стоматолог формирует с помощью композитных материалов анатомические структуры зуба, добиваясь естественности; Шлифование и полирование пломбы. Завершающим этапом лечения является коррекция пломбы по прикусу, придание ей гладкости и блеска;

    Протезирование зубов

    Штампованная коронка с напылением
    Штампованная коронка – основные характеристики. Речь идет об ортопедическом одиночном протезе, который позволяет восстановить сильно разрушенный зуб, а точнее его видимую часть. Металлические зубные коронки могут быть двух видов: литые и штампованные. Отвечая на вопрос о том, чем они отличаются друг от друга, сразу следует обозначить, что их ключевая разница заключается в технологии изготовления и ряде функциональных характеристик. ... При этом стальные конструкции могут быть с напылением или без него. В последнем случае изделие получается блестящим, серебристого цвета. В качестве материала для напыления обычно используется нитрид титана, который придает коронке золотистый цвет.
    Цельнолитые коронки с напыленим
    Цельнолитая коронка с напылением (рис.3) – если пациента не устраивает цвет блестящего полированного металла, то возможно напыление таких коронок под «золото». Это уже так называемые металлические коронки с напылением. Однако нужно отметить, что напыление может оказывать некоторое негативное влияние на слизистую оболочку полости рта – в силу возникновения электро-химических реакций (микротоков). Это явление называется термином «гальваноз». Цельнолитая коронка с облицовкой (рис.5) – цельнолитая коронка с облицовкой имеет на передней поверхности (которая видна при улыбке) накладку
    Коронка со светлым напылением
    Напыление на коронки. Особенности конструкции. Какие бывают коронки с напылением. Особенности зубных коронок с напылением. Как устанавливают коронки с напылением. Показания и противопоказания к установке металлических коронок с напылением. Преимущества и недостатки. Еще несколько десятилетий назад металлические коронки с напылением пользовались огромной популярностью. Сейчас этот способ ушел в прошлое, так как эстетическая стоматология предлагает более современные методы восстановления улыбки
    Металокерамика
    Коронки из металлокерамики: виды, показания к протезированию, особенности коронок с каркасом из циркония. Процесс изготовления протезов из металлокерамики, уход за коронками. ... Металлокерамика — это искусственный материал, который состоит из сплава металлов и керамического покрытия. В стоматологии она используется для восстановления функциональных возможностей зубного ряда и их эстетического вида
    Безметалловая керамика
    цирконий Безметалловая керамика – самый современный и эстетичный материал, применяющийся в ортопедической стоматологии. Основным компонентом служит оксид циркония, из которого, собственно, и изготавливается стоматологическая конструкция –коронки, виниры (для чего нужны виниры?), одиночный или мостовидный протез.
    Протез полносъемный и частично съемный акриловый
    простой Полный съемный протез из акрила используется, когда зубы на челюсти отсутствуют полностью, крепление за зубы ему не требуется, он фиксируется просто на десне. Частичный акриловый зубной протез используется, когда утрачены несколько зубов, стоящих подряд.
    Протез съемный, частично съемный из биодентопласта
    мягкий, гибкий Частичный съемный протез зубов – какой лучше выбрать? Виды частичных зубных протезов. Способы фиксации и материалы для изготовления частичных съемных протезов. ... Наиболее качественными считаются эластичные (но при этом не слишком мягкие) конструкции из гипоаллергенных материалов. При частичном отсутствии зубов съемные пластиночные протезы из нейлона и безакриловой пластмассы являются оптимальным решением. Низкая цена. Приемлемая функциональность и эстетика

    Педиатрия

    Консультация педиатра
    Педиатр взвесит ребенка, измерит ему рост, окружность головы и груди, проведет осмотр различных органов и систем организма, послушает дыхание и сердцебиение, осмотрит живот, оценит состояние слизистых. После первичной консультации педиатр выписывает направление на проведение необходимых исследований (например, сделать посев, сдать кровь или мочу на анализ). По результатам проведенного обследования, после изучения анализов и исследований педиатр назначает лечение или при необходимости направляет к соответствующему профильному специалисту и контролирует общий ход лечения

    Терапия

    Консультации
    Консультация терапевта
    сбор анамнеза (истории болезни*) и жалоб общетерапевтический; визуальный осмотр общетерапевтический; пальпация (ощупывание), аускультация (выслушивание звуков), перкуссия (постукивание) общетерапевтическая; измерение частоты сердцебиения, артериального давления на периферических артериях; исследование пульса.
    Первичный прием врача общей практики + анализы
    ОАК, ОАМ, глюкоза
    Диагностика
    ЭКГ с расшифровкой
    Электрокардиография сердца (ЭКГ) – это оценка активности сердечной мышцы с помощью регистрации электрических сигналов. Нормальная ЭКГ делается в 12 отведениях, то есть на тело пациента крепятся 12 электродов — 6 грудных и 6 на конечности (правая и левая руки, а также левая нога). Метод помогает: выявить ритм сердцебиения; оценить кровоснабжение сердца в состоянии покоя; узнать проводимость сердечной мышцы; диагностировать увеличение камер. В результате проведенного обследования аппаратура выдает бумажную ленту с изображенной на ней кривой, повторяющей работу сердечной мышцы.

    Медицинские осмотры

    Оформление справки 075у без ФГ
    Оформление справки 083у (водительская, включая ОАК, ОАМ) без ФГ
    Оформление справки в миграционную полицию (вид на жительство 075у) без стоимости ФГ и кровь на ВИЧ
    Оформление справки в миграционную полицию при устройстве на временную работу без ФГ и на ВИЧ мужской
    Оформление справки в миграционную полицию при устройстве на временную работу без ФГ и на ВИЧ женский

    Процедурный кабинет

    Забор крови на анализы
    Взятие крови из вены с помощью вакуумной системы является наиболее безопасным и эффективным способом забора. Использование вакуумных пробирок, так называемых вакутейнеров, обеспечивает правильную процедуру сбора образца, транспортировки и качественный анализ.
    Внутривенная капельная инфузия (система)
    Новокаиновая блокада (местная инфильтративная)
    Новокаиновая блокада – безопасный и надежный метод лечения боли. Процедура заключается во введении новокаина непосредственно в проблемную зону. Лекарство доставляется напрямую к болевым рецепторам, блокирует их, после чего болевые ощущения исчезают или становятся незначительными.
    Проводниковые спиртновокаиновые блокады
    Блокада специальная (дипроспан) без учета препаратов и шприца
    Ретромаммарная блокада с антибиотиком
    Блокада в места перелома
    Внутрисуставные блокады
    Внутрисуставная блокада – медикаментозная терапия, при которой лекарство вводится непосредственно в место сочленения суставов для снятия болевого синдрома и достижения лучшего терапевтического эффекта
    Внутривенная инъекция (введение лекарств)
    Внутривенная инъекция — лечебная процедура, применяемая для введения лекарственных препаратов непосредственно в кровоток пациента. При таком способе введения весь объём введённого лекарства моментально начинает оказывать воздействие на организм.
    Внутримышечная инъекция
    Внутримышечная инъекция — это способ введения лекарственных препаратов с помощью укола в мышцу. Инъекцию, как правило, делают в верхнюю часть ягодицы или бедренную мышцу.
    Взятие крови из вены
    Любой патологический процесс в организме отражается на показателях крови. Поэтому анализ крови из вены – это часто одна из первых диагностических процедур, которые назначает врач при подозрении на заболевание.
    Внутривенная инъекция + система 1 фл
    Внутривенная инъекция — лечебная процедура, применяемая для введения лекарственных препаратов непосредственно в кровоток пациента. При таком способе введения весь объём введённого лекарства моментально начинает оказывать воздействие на организм.

    Анализы

    Анализ крови
    СОЭ
    Клинический анализ крови
    Общий анализ крови без лейкоцитарной формулы и СОЭ
    Лейкоцитарная формула
    Ретикулоциты
    Тромбоциты
    Аллоиммунные антитела
    Прямая проба Кумбса
    Инсулин
    Глюкоза крови
    Гликозилированный (гликированный) гемоглобин (HbA1c)
    Триглицериды
    Холестерин общий
    Липопротеины высокой плотности (ЛПВП, HDL)
    Липопротеины низкой плотности (ЛПНП, LDL)
    Альбумин
    Общий белок
    Креатинин
    Мочевина
    Мочевая кислота
    Билирубин общий
    Билирубин прямой
    АЛТ
    АСТ
    Щелочная фосфатаза
    Альфа-амилаза
    Альфа-амилаза панкреатическая
    Гамма-глутамилтранспептидаза
    Калий, натрий
    Кальций общий
    Магний в сыворотке крови
    Фосфор неорганический
    Железо в сыворотке крови
    Латентная железосвязывающая способность сыворотки
    Антистрептолизин-О
    Ферритин
    С-реактивный белок
    Ревматоидный фактор
    Трансферрин
    Антитела класса IgG к антигенам эхинококка
    Антитела класса IgG к аскаридам
    Анализ мочи
    Анализ мочи общий
    Анализ мочи по Нечипоренко
    Общий белок в суточной моче
    Исследование мочи
    Анализ кала
    Копрограмма
    Анализ кала на лямблии
    Анализ кала на яйца гельминтов
    Анализ кала на простейшие
    Исследование на энтеробиоз
    Исследование кала на скрытую кровь
    бензидиновая проба
    Анализ спермы
    Спермограмма
    Анализ мокроты
    Исследование мокроты
    Посев мокроты и трахеобронхиальных смывов на микрофлору, определение чувствительности к антимикробным препаратам и микроскопией мазка
    Анализ на коронавирус
    Антитела к коронавирусу SARS CoV-2, IgM
    Антитела к коронавирусу SARS CoV-2, IgG
    Антитела к коронавирусу SARS CoV-2, IgG+IgM
    Коронавирус SARS-CoV-2, определение РНК
    качественно, в мазке со слизистой носоглотки и/или ротоглотки
    Гормоны
    Тиреотропный гормон
    Фолликулостимулирующий гормон
    Лютеинизирующий гормон
    Пролактин
    Макропролактин
    T4 общий
    Т4 свободный
    Т3 общий
    Т3 свободный
    Антитела к тиреоглобулину
    Антитела к тиреоидной пероксидазе
    Кортизол
    Тестостерон
    Дегидроэпиандростерон-сульфат (ДЭА-S04)
    Эстрадиол
    Прогестерон
    Хорионический гонадотропин человека
    Инфекции
    Уреаплазма (Ureaplasma рarvum), определение ДНК в секрете простаты, эякуляте
    Хеликобактер - антитела суммарные
    Хламидия (Chlamydia trachomatis), определение ДНК в моче
    Хламидия (Chlamydia trachomatis), определение ДНК в секрете простаты, эякуляте
    Хламидия (Chlamydia trachomatis), определение ДНК в соскобе эпителиальных клеток урогенитального тракта
    Aнтитела класса IgG к Chlamydia trachomatis
    Aнтитела класса IgM к Chlamydia trachomatis
    Хламидия (Chlamydia trachomatis), определение ДНК в соскобе эпителиальных клеток конъюнктивы
    Aнтитела класса IgG к цитомегаловирусу (Anti-CMV IgG)
    Цитомегаловирус, определение ДНК в сыворотке крови
    Цитомегаловирус, определение ДНК в слюне
    Цитомегаловирус, определение ДНК в секрете простаты, эякуляте
    Цитомегаловирус, определение ДНК в соскобе эпителиальных клеток урогенитального тракта
    Aнтитела класса IgM к цитомегаловирусу (Anti-CMV IgM)
    Цитомегаловирус, определение ДНК в соскобе эпителиальных клеток конъюнктивы
    Цитомегаловирус, определение ДНК в соскобе эпителиальных клеток кожи
    Цитомегаловирус, определение ДНК в моче
    Вирус Эпштейна-Барр, определение ДНК в соскобе эпителиальных клеток урогенитального тракта
    Антитела класса IgМ к капсидному антигену вируса Эпштейна-Барр
    Антитела класса IgG к ядерному антигену вируса Эпштейна-Барр
    Антитела класса IgG к раннему антигену вируса Эпштейна-Барр
    Вирус Эпштейна-Барр, определение ДНК в моче
    Вирус Эпштейна-Барр, определение ДНК в сыворотке крови
    Вирус Эпштейна-Барр, определение ДНК в слюне
    Вирус Эпштейна-Барр, определение ДНК в секрете простаты, эякуляте
    Иммуноферментный анализа (ИФА) маркеров гепатитов А, В, С, D
    Антитела класса IgM к вирусу гепатита А
    HBs-антиген вируса гепатита В
    Вирус гепатита B, определение ДНК в сыворотке крови, качественное
    Вирус гепатита B, определение ДНК в сыворотке крови, количественное
    Иммуноферментный анализ (ИФА) гепатита В (6 маркеров)
    Иммуноферментный анализ (ИФА) гепатита В (3 маркера)
    HBе-антиген вируса гепатита В
    Антитела класса IgM к HB-core антигену вируса гепатита B
    Антитела к HBs-антигену вируса гепатита В
    Антитела классов IgM и IgG к вирусу гепатита С, суммарно
    Вирус гепатита С, определение РНК в сыворотке крови, качественное
    Вирус гепатита С, определение РНК в сыворотке крови методом ПЦР, количественное
    Антитела классов IgM и IgG к вирусу гепатита D, суммарнo
    Антитела класса IgG к вирусу простого герпеса 1 и 2 типов
    Антитела класса IgG к Brucella spp.
    Антитела класса IgM к Brucella spp.
    Реакция Райта
    Реакция Хеддельсона
    Герпесвирус 1 и 2 типов, определение ДНК в моче
    в моче, сыворотке крови, слюне, секрете простаты, эякуляте, соскобе эпителиальных клеток урогенитального тракта
    Антитела класса IgМ к вирусу простого герпеса 1 и 2 типов (Anti-HSV-1, 2 IgМ)
    Герпесвирус 1 и 2 типов, определение ДНК в соскобе эпителиальных клеток конъюнктивы
    Герпесвирус 1 и 2 типов, определение ДНК в соскобе эпителиальных клеток кожи
    Гонококк, определение ДНК в соскобе эпителиальных клеток конъюнктивы
    Гонококк, определение ДНК в моче
    Гонококк, определение ДНК в синовиальной жидкости
    Гонококк, определение ДНК в секрете простаты, эякуляте
    Гонококк, определение ДНК в соскобе эпителиальных клеток урогенитального тракта
    Исследование на наличие клеща демодекс
    Посев на патогенную кишечную флору, определение чувствительности к антимикробным препаратам
    Антитела класса IgG к антигенам Yersinia еnterocolitica
    Aнтитела класса IgG к Candida albicans
    Кандида, определение ДНК в секрете простаты, эякуляте
    Кандида, определение ДНК в соскобе эпителиальных клеток урогенитального тракта
    Кандида, определение ДНК в соскобе эпителиальных клеток кожи
    Кандида, определение ДНК в моче
    Кандида, определение ДНК в слюне
    Антитела класса IgG к вирусу краснухи
    Антитела класса IgМ к вирусу краснухи
    Антитела классов IgM, IgG, IgA к антигенам лямблий, суммарно
    Лямблии (Giardia liamblia), диарейный синдром, антигенный тест
    Антитела класса IgM к Lamblia
    Микоплазма (Mycoplasma hominis), определение ДНК в моче
    Антитела класса IgG к Mycoplasma hominis
    Антитела класса IgA к Mycoplasma hominis
    Микоплазма (Mycoplasma hominis), определение ДНК в секрете простаты, эякуляте
    Микоплазма (Mycoplasma hominis), определение ДНК в соскобе эпителиальных клеток урогенитального тракта
    Микоплазма (Mycoplasma genitalium), определение ДНК в моче
    Микоплазма (Mycoplasma genitalium), определение ДНК в секрете простаты, эякуляте
    Микоплазма (Mycoplasma genitalium), определение ДНК в соскобе эпителиальных клеток урогенитального тракта
    Антитела класса IgG к антигенам описторхиса
    Сифилис RPR – антикардиолипиновый тест
    Сифилис IgG+IgM
    Посев на золотистый стафилококк (Staphylococcus aureus), определение чувствительности к антимикробным препаратам
    Антитела класса IgG к антигенам токсокар
    Антитела класса IgG к Тoxoplasma gondii
    Антитела класса IgМ к Тoxoplasma gondii
    Токсоплазма, определение ДНК в сыворотке крови
    Антитела класса IgG к антигенам трихинелл
    Антитела класса IgG к Trichomonas vaginalis
    Трихомонада, определение ДНК в моче
    Трихомонада, определение ДНК в секрете простаты, эякуляте
    Трихомонада, определение ДНК в соскобе эпителиальных клеток урогенитального тракта
    Антитела класса IgG к Ureaplasma urealyticum
    Уреаплазма (Ureaplasma рarvum), определение ДНК в соскобе эпителиальных клеток урогенитального тракта
    Антитела класса IgA к Ureaplasma urealyticum
    Уреаплазма (Ureaplasma urealyticum) (биовар Т-960), определение ДНК в моче
    Уреаплазма (Ureaplasma urealyticum) (биовар Т-960), определение ДНК в секрете простаты, эякуляте
    Уреаплазма (Ureaplasma urealyticum) (биовар Т-960), определение ДНК в соскобе эпителиальных клеток урогенитального тракта
    Уреаплазма (Ureaplasma parvum), определение ДНК в моче
    Онкомаркеры
    ПСА общий
    СА-19-9
    СА-125
    Онкориск мужской: предстательная железа
    Раково-эмбриональный антиген
    СА-15-3
    ПЦР
    ПЦР на ДНК папиллома-вируса 16, 18 типа
    Вирус папилломы человека высокого онкогенного риск, oпределение ДНК 16 и 18 типов в соскобе эпителиальных клеток урогенитального тракта (HPV DNA, Scrape of Urogenital Epithelial Cells, 2 Types (16, 18))*
    ПЦР на ДНК папиллома-вируса 16, 11 типа
    Вирус папилломы человека, oпределение ДНК 6 и 11 типов в соскобе эпителиальных клеток урогенитального тракта (HPV DNA, Scrape of Urogenital Epithelial Cells, 2 Types (6, 11))
    ПЦР на гарднерелл
    в моче, секрете простаты, эякуляте, соскобе эпителиальных клеток урогенитального тракта
    Коагулограмма
    АЧТВ (АПТВ)
    Определение антигена фактора Виллебранда
    Протромбиновое время
    Фактор VIII (антигемофильный глобулин А)
    Фактор IX (антигемофильный глобулин В)
    Антифосфолипидный синдром и волчаночный антикоагулянт
    Коагулограмма для беременных с маркерами тромбоза
    Фибриноген
    Антитромбин III
    Тромбиновое время
    D-димер
    Волчаночный антикоагулянт
    Протеин C
    Гемостазиограмма (коагулограмма), скрининг
    Гемостазиограмма (коагулограмма) расширенная
    Цитология и гистология
    Жидкостная цитология
    Цитологическое исследование биоматериала шейки матки
    Пап-тест
    Цитологическое исследование биоматериала шейки матки (окрашивание по Папаниколау, Рар-тест) (Cytological Examination: Cervix, Pap-test)
    Цитологическое исследование материала, полученного при хирургических вмешательствах и других срочных исследованиях
    Цитологическое исследование соскоба (мазка) слизистой оболочки полости носа (одна локализация)
    Консультация готовых гистологических препаратов (1-3 блока)
    Гистологическое исследование биопсийного материала и материала, полученного при хирургических вмешательствах
    Прочие анализы
    Дисбактериоз кишечника, определение чувствительности к бактериофагам
    Посев раневого отделяемого и тканей на микрофлору, определение чувствительности к антимикробным препаратам
    Посев грудного молока на микрофлору, определение чувствительности к антимикробным препаратам
    Посев желчи на микрофлору, определение чувствительности к антимикробным препаратам
    Посев отделяемого верхних дыхательных путей на микрофлору, определение чувствительности к антимикробным препаратам (одна локализация)
    Посев мочи на микрофлору, определение чувствительности к антимикробным препаратам
    Посев отделяемого глаз на микрофлору, определение чувствительности к антимикробным препаратам
    Посев на микрофлору отделяемого половых органов, определение чувствительности к антимикробным препаратам
    Посев отделяемого ушей на микрофлору, определение чувствительности к антимикробным препаратам
    Посев пункционного материала на микрофлору, определение чувствительности к антимикробным препаратам
    Хеликобактер пилори (Helicobacter pylori), антигенный тест
    Микроскопическое (бактериоскопическое) исследование мазка, окрашенного по Граму
    Иммуноглобулины класса E
    Исследование выделений из молочной железы
    Исследование транссудатов, экссудатов, секретов
    Исследование пунктатов молочной железы
    Исследование пунктатов кожи
    Исследование пунктатов других органов и тканей
    Исследование соскобов и отпечатков с поверхности кожи и слизистых
    Исследование соскобов и отпечатков опухолей и опухолеподобных образований
    Исследование эндоскопического материала
    Исследования промывных вод бронхов
    Исследование соскобов шейки матки и цервикального канала
    Исследование аспирата из полости матки (мазки)
    Исследование отпечатка с внутриматочной спирали (ВМС)
    Исследование биопсийного материала
    Глюкозо-толерантный тест с определением глюкозы в венозной крови натощак и после нагрузки через 2 часа
    Глюкозотолерантный тест при беременности
    Определение мутации гена JAK2 (Val 617Phe)
    Опухолевая М2-пируваткиназа в кале
    Вы владелец?
    Этот сайт использует cookies
    Понятно